Biss nach PZR
Entzündungen und Rezessionen sind deutlich erkennbar.

Entscheidend für implantatgetragene Vollversorgung: Teamwork in Prothetik, Oralchirurgie und Zahntechnik - von Daniel Liss, AllDent Zahnzentrum Leipzig


Die Prothesen waren durch Zahnsteinverblockungen und Gingivahyperplasien nicht mehr herausnehmbar.


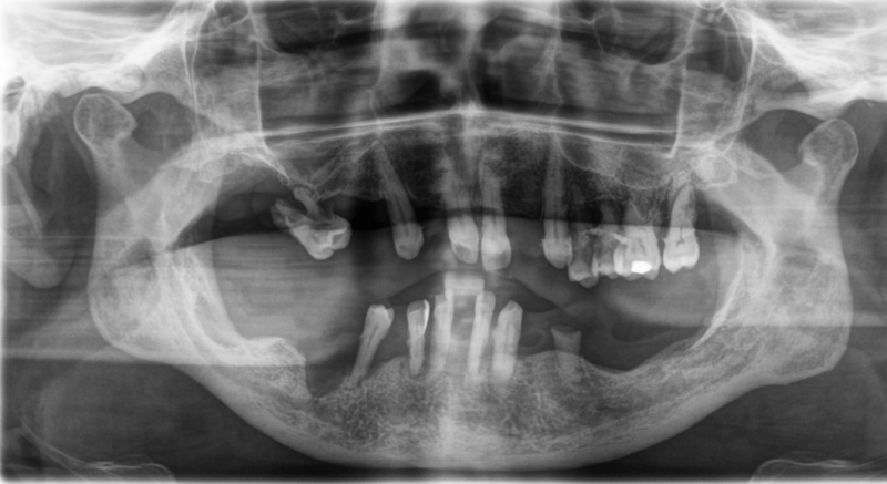
OPG nach Entfernung von Zahnstein, Gingivahyperplasien und Prothesen (inklusive Zahn 47 ).


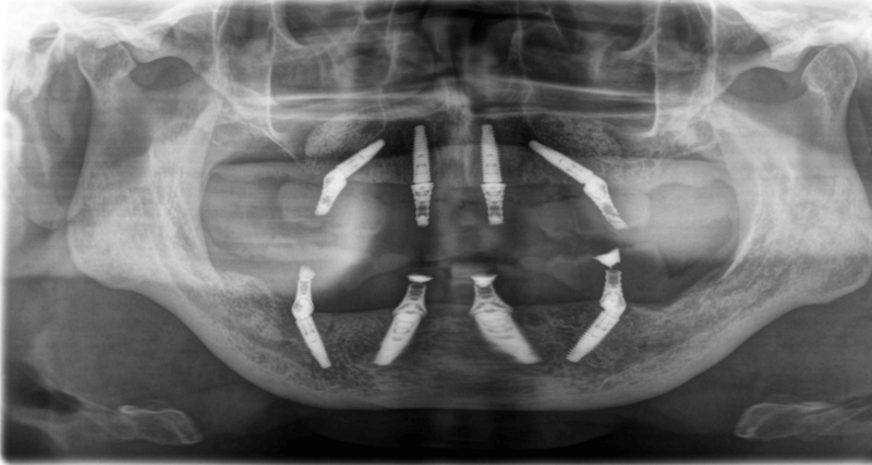
Durch den starken Neigungswinkel der Implantate wird sowohl im Ober- als auch im Unterkiefer eine Versorgung von 6 bis 6 möglich. Dies reduziert unter anderem die Länge des Anhängerabschnitts und ermöglicht die Sofortbelastung der Brückenkonstruktion. Trotz geringen Knochenangebotes sind vier Implantate zur Verankerung ausreichend.




Gerade bei Angstpatienten ist der Leidensdruck sehr groß, bis sie die Hürde „Zahnarztbesuch“ schließlich überwinden. Die Alternative zur Behandlung mit Vollversorgungen auf je vier Implantaten wäre hier die Regelversorgung mit einer Totalprothese im Unterkiefer und Cover Denture im Oberkiefer gewesen. Diese bringt die bekannten Nachteile mit schlechtem Halt und wenig Komfort mit sich. Der freie Gaumen und die festen Zähne bedeuten eine Verbesserung der Lebensqualität beim Schmecken, Essen und Sprechen. Die Patientin hat wieder gelernt zu lachen und ihre Zähne zu zeigen. Trotz des notwendigerweise ausgedehnten Behandlungsablaufs konnte eine lange Zeit der Zahnlosigkeit durch Interimsprothesen vermieden werden. Aufgrund der umfangreichen Vorplanung bedeuten FDZ in der Regel lediglich sechs bis sieben Stunden echte Behandlungszeit. Entscheidend bei dieser komplexen Therapie sind die räumliche Nähe und reibungslose Teamarbeit von Prothetikern, Chirurgen, Zahntechnikern und nicht zuletzt Anästhesisten.