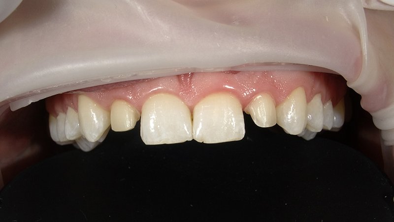
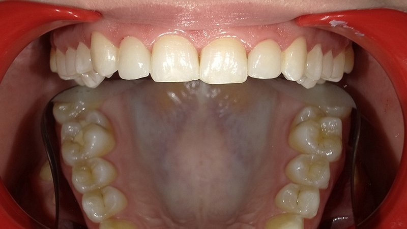
Ausgangslage vor der Behandlung: Die Patientin störte sich vor allem an den kurzen, zu dunklen Frontzähnen.

Teilkronen, Füllungs- und Schienentherapie – Bei der Wiederherstellung von Ästhetik und Funktion bewährt sich die enge Zusammenarbeit des Zahnarztes mit dem Labor.



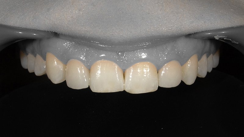
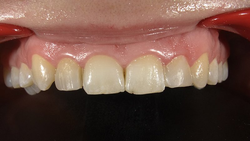
Gerade bei ästhetischen Fragestellungen ist die enge Zusammenarbeit von Zahnarzt und Zahntechniker entscheidend. Ein hauseigenes Labor mit einem erfahrenen Zahntechnikermeister hat sich in dieser Hinsicht bewährt. Das Arbeiten mit hochwertigen Materialien – am besten vom gleichen Hersteller – vermeidet Inkompatibilitäten und damit negative Überraschungen. Dem dringenden Wunsch der Patientin nach „schönen Zähnen“ konnte in diesem Fall sehr gut entsprochen werden. Schließlich sind Wohlbefinden und gesteigertes Selbstwertgefühl entscheidende Aspekte in der ästhetischen Zahnheilkunde.
